Unser LEISTUNGSANGEBOT
Wir bieten in unseren Praxen folgende Untersuchungen an:
- Myokard-Szintigraphie
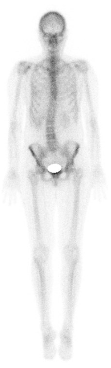
- Skelett-Szintigraphie
- Nieren-Szintigraphie
- Lungen-Szintigraphie
- Hirn-Szintigraphie
- Wächterlymphknoten-Szintigraphie
- Entzündungsszintigraphie
- Schilddrüsen-Sprechstunde
- PET/CT
- Sonstige Szintigraphien wie Nebenschilddrüsenszintigraphie
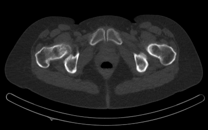
- Computertomographie (CT, nur in Praxis Halle)
sowie die Radiosynoviorthese als Gelenktherapie.
Nuklearmedizin? Radiologie? Hybridbildgebung?
Nuklearmedizin
- Darstellung von Stoffwechselprozessen oder bestimmten Bindungsstellen im Körper.
- Funktion oder Funktionsstörung wird sichtbar.
- Häufig Nutzung bestimmter Stoffe, die der Körper ohnehin aufnimmt (z.B. Zucker). Daran Kopplung eines schwach radioaktiven Strahler (z. B. F-18), um den Weg im Körper zu verfolgen.
- Strahlung wird mit entsprechenden Geräten sichtbar gemacht (SPECT [SinglePhotonenEmissions ComputerTomograph] oder PET [PositronenEmissionsTomograph]).
- Nachteil: Strukturen können in ihrem Aussehen nicht bzw. schlecht erfasst werden.
Nuklearmediziner wissen also wie etwas funktioniert, aber nicht genau wie es aussieht.


Radiologie
- Darstellung des Aussehens von Strukturen.
- Nutzung verschiedene Techniken wie z. B. Ultraschall, konventionelles Röntgen, Computertomographie (CT) oder Magnetresonanztomographie (MRT).
- im Falle des konventionellen Röntgen oder des CT wird Strahlung von außen (Röntgenröhre) durch den Körper "geschickt" und auf der anderen Seite aufgenommen (Detektor).
Diagnostische Radiologen wissen wie etwas aussieht, aber nicht genau wie es funktioniert.
Hybridbildgebung
- Beide Fächer sind gut auf Ihrem Gebiet und blind dem jeweils anderen.
- Hybridbildgebung löst dieses Problem.
- In einem Gerät (z.B. PET/CT, SPECT/CT oder sogar PET/MRT)
- Darstellung von Funktion und Aussehen.
Vorteil: Verbesserung der diagnostischen Genauigkeit, oft insgesamt Senkung der Strahlenbelastung.






